Items filtered by date: August 2022

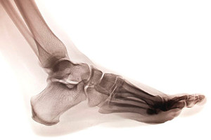
There are several bones in each foot, and a stress fracture occurs when there is a hairline break in one of the small bones. It often happens as a result of repetitive stress the feet endure from running or from frequently participating in jumping activities. The fractures are typically very small, despite how painful they can be. Many people choose to ignore the nagging pain in their foot, and it often becomes worse if it is not promptly treated. It may be a common injury among runners who increase their speed and frequency of running too soon, and this could gradually cause a stress fracture. This can be a result of a lack of strength and endurance from the muscles that cannot cope with added support that is needed when that activity increases. Additional reasons why stress fractures may occur include having an abnormal foot structure, wearing shoes that do not fit correctly, or having previous stress fractures. If you think you have endured this type of fracture, please speak with a podiatrist as quickly as possible who can properly treat this condition.

Activities where too much pressure is put on the feet can cause stress fractures. To learn more, contact Brett Dupont, DPM from Golden Gate Foot and Ankle. Our doctor can provide the care you need to keep your pain free and on your feet.

Dealing with Stress Fractures of the Foot and Ankle

Stress fractures occur in the foot and ankle when muscles in these areas weaken from too much or too little use.  The feet and ankles then lose support when walking or running from the impact of the ground. Since there is no protection, the bones receive the full impact of each step. Stress on the feet can cause cracks to form in the bones, thus creating stress fractures.

What Are Stress Fractures?

Stress fractures occur frequently in individuals whose daily activities cause great impact on the feet and ankles. Stress factors are most common among:

  • Runners                                  
  • People affected with Osteoporosis
  • Tennis or basketball players
  • Gymnasts
  • High impact workouts

Symptoms

Pain from the fractures occur in the area of the fractures and can be constant or intermittent. It will often cause sharp or dull pain with swelling and tenderness. Engaging in any kind of activity which involves high impact will aggravate pain.

If you have any questions please feel free to contact our offices located in Sonoma, San Francisco, and Oakland, CA . We offer the newest diagnostic and treatment technologies for all your foot and ankle needs.

Read more about Dealing with Stress Fractures of the Foot and Ankle
Tuesday, 23 August 2022 00:00

Obesity and Ankle Sprains

Individuals who struggle with obesity are sometimes more susceptible to experiencing problematic foot conditions. For example, some obese individuals are more likely to develop flat feet because their higher body weight makes them exert more pressure on their feet when standing. Therefore, if you suffer from obesity, it might be a good idea to take extra care of the health of your feet. Obese individuals ought to be particularly mindful of ankle sprains because not only does obesity increase your risk of spraining the ankle, it also might make recovery from such an injury more difficult and prolonged. Ankle sprains occur when the foot turns awkwardly and tears or strains the ligaments surrounding the ankle. Obesity also heightens your risk of developing a sprained ankle because the extra body weight increases your instability and reduces balance control, among other things. When recovering from an ankle sprain, obese individuals are also particularly vulnerable. The joints affected by an ankle sprain may take a longer time to heal post-injury in obese individuals because of the detrimental effects obesity has on ankle joint function. Therefore, if you are obese and are trying to recover from an ankle sprain, you might need extra help in managing your symptoms to heal the injury. Contact a podiatrist for any questions you might have about how obesity affects ankle sprains.

Obesity has become very problematic at this point in time and can have extremely negative effects on the feet. If you’re an obese individual and are concerned about your feet, contact Brett Dupont, DPM from Golden Gate Foot and Ankle. Our doctor can provide the care you need to keep you pain-free and on your feet.

Obesity and Your Feet

Since your feet are what support your entire weight when standing, any additional weight can result in pain and swelling. Being overweight is one of the main contributors to foot complications.

Problems & Complications

Extra Weight – Even putting on just a few extra pounds could create serious complications for your feet. As your weight increases, your balance and body will shift, creating new stresses on your feet. This uneven weight distribution can cause pain, even while doing the simplest tasks, such as walking.

Diabetes – People who are overweight are at serious risk of developing type-2 diabetes, which has a drastic impact on the health of your feet. As you get older, your diabetes might worsen, which could lead to loss of feeling in your feet, sores, and bruises. You could also become more prone to various infections.

Plantar fasciitis – Pressure and stress that is placed on muscles, joints, and tendons can trigger plantar fasciitis, which is an inflammation of tissue that forms along the bottom of the foot. 

If you have any questions please feel free to contact our offices located in Sonoma, San Francisco, and Oakland, CA . We offer the newest diagnostic and treatment technologies for all your foot and ankle needs.

Read more about How Obesity Affects Your Feet
Tuesday, 16 August 2022 00:00

Two Tips for Picking the Right Shoe Size

Admittedly, selecting the right shoe size can feel difficult and somewhat intimidating. However, it is still an important task that can be critical to maintaining the overall health of your feet. For example, selecting tight or ill-fitting footwear can make the foot repeatedly rub against the shoe material, which can potentially lead to foot complications. To select the right shoe size, first, you can consider bringing a tracing of your foot with you to the shoe store. On a piece of paper, trace the outline of your foot with a pencil. When considering shoes to try on at the store, you can place the shoe on the paper. If the shoe is smaller than the outline of your foot, then immediately move on to consider another pair of shoes. Second, to select the ideal shoe size for you, you might consider wearing the same kind of socks while you are shoe shopping that you would ultimately wear with the shoes. This is important because if you normally prefer to wear thick socks, yet you try on shoes with no socks or very thin socks, you might find that the shoes eventually feel tighter than you would like. Being an expert shoe shopper is certainly something that takes practice. For more information on how you can select the right shoe size, consult with a podiatrist.

Getting the right shoe size is an important part of proper foot health. Seek the assistance of Brett Dupont, DPM from Golden Gate Foot and Ankle. Our doctor will provide the care you need to keep you pain-free and on your feet.

Getting the Right Shoe Size

There are many people who wear shoes that are the incorrect size, negatively affecting their feet and posture. Selecting the right shoes is not a difficult process, so long as you keep several things in mind when it comes to choosing the right pair.

  • When visiting the shoe store, use the tools available to measure your foot.
  • Be sure there is ‘wiggle room’. There should be about an inch between your toes and the tip of your shoes.
  • Do not always assume you are the same size, as manufacturers run differently.
  • Purchase shoes later in the day, as your feet swell as the day progresses.
  • If a shoe is not comfortable, it is not suitable. Most shoes can’t be ‘broken in’, and comfort should be the ultimate goal when it comes to choosing the right pair of shoes

As our feet hold our body weight and keep us moving, it is important to treat them right. Picking the right pair of shoes can provide your feet comfort and mobility without pain.

If you have any questions, please feel free to contact our offices located in Sonoma, San Francisco, and Oakland, CA . We offer the newest diagnostic and treatment technologies for all your foot care needs.

Read more about Getting the Right Shoe Size: To Keep Your Feet Happy
Tuesday, 09 August 2022 00:00

Pain in Different Parts of the Feet

Where pain is felt in the foot is sometimes a good indicator of its cause and whether medical treatment is necessary.  Foot pain can originate from wearing uncomfortable shoes, prolonged standing, injuries, or chronic conditions, such as arthritis. Generalized toe pain can be from a hammertoe. Big toe pain can be from gout, broken bones, an ingrown toenail, or a sprain. Joint pain on a toe knuckle, ankle, or where the toes connect to the foot may be from arthritis. Pain in the ball of the foot can be from a strain, sprain, minor overuse, or Morton’s neuroma.  Arch pain may be due to tendonitis, flat feet, or plantar fasciitis. Plantar fasciitis and tendonitis can also cause heel pain. Generalized foot pain or swelling may be from a blood flow issue, such as from diabetes or peripheral neuropathy. If you are experiencing foot pain and it does not resolve in a reasonable period with rest and perhaps a change to better fitting shoes, contact a podiatrist for proper diagnosis and a treatment plan.

Foot Pain

Foot pain can be extremely painful and debilitating. If you have a foot pain, consult with Brett Dupont, DPM from Golden Gate Foot and Ankle. Our doctor will assess your condition and provide you with quality foot and ankle treatment.

Causes

Foot pain is a very broad condition that could be caused by one or more ailments. The most common include:

  • Bunions
  • Hammertoes
  • Plantar Fasciitis
  • Bone Spurs
  • Corns
  • Tarsal Tunnel Syndrome
  • Ingrown Toenails
  • Arthritis (such as Gout, Rheumatoid, and Osteoarthritis)
  • Flat Feet
  • Injury (from stress fractures, broken toe, foot, ankle, Achilles tendon ruptures, and sprains)
  • And more

Diagnosis

To figure out the cause of foot pain, podiatrists utilize several different methods. This can range from simple visual inspections and sensation tests to X-rays and MRI scans. Prior medical history, family medical history, and any recent physical traumatic events will all be taken into consideration for a proper diagnosis.

Treatment

Treatment depends upon the cause of the foot pain. Whether it is resting, staying off the foot, or having surgery; podiatrists have a number of treatment options available for foot pain.

If you have any questions, please feel free to contact our offices located in Sonoma, San Francisco, and Oakland, CA . We offer the newest diagnostic and treatment technologies for all your foot care needs.

Read more about Foot Pain

Do you work on your feet all day and find your feet in pain? Don't go to work in pain each day. Your foot pain can be treated, and we can help.

Many people choose to wear flip flops in the warmer months because of the many styles to choose from and their simplicity to wear. However, wearing flip flops can be harmful to the feet. Some of the ways the feet can be negatively affected include having a different gait, or walking style, and the toes can cramp from trying to keep the shoe on the foot. Additionally, the skin on the heels can become dry and cracked from frequently wearing this backless shoe, and the ankles may start to point inward. They typically do not provide any type of arch support, and if these types of shoes must be worn, it is suggested that they be worn for short periods of time. They are appropriate to wear to the beach, but are frowned upon if worn all day. If you would like additional information about how wearing flip flops can affect the feet, please speak with a podiatrist who can address any concerns you may have.

Flip-flops are not always the best choice of footwear. If you have any concerns about your feet or ankles, contact Brett Dupont, DPM from Golden Gate Foot and Ankle. Our doctor will assist you with all of your foot and ankle needs.

Flip-Flops and Feet

When the weather starts warming up, people enjoy wearing flip-flops.  Flip-flops are comfortable, stylish, and easy to slip on and off; they're perfect for any summer beach goer.  However, these shoes can cause harm to the feet.

How Can Flip-Flops Affect Me Long-Term?

  • Ankle problems
  • Hip problems
  • Lower back problems
  • Pain in the balls of the feet
  • Problems with foot arches
  • Changes in the way you walk

Are There Injuries Associated with Flip-Flops?

Yes.  Since flip-flops are relatively weak and do not provide the same amount of support as sneakers, people who wear flip-flops regularly are more susceptible to injuries. On top of that, the open nature of the shoe makes your feet more prone to other problems, such as cuts and even infections.  Common injuries and ailments include:

  • Sprained ankles
  • Blisters
  • Infections
  • Cuts and Scrapes

I like Wearing Flip-Flops. Are There Safe Alternatives?

When buying flip-flops, try to find ones that have sturdy soles and that are made of high-quality materials that will support for your feet.  These flip-flops will cost more but will also last longer as a result.

If you have any questions please feel free to contact our offices located in Sonoma, San Francisco, and Oakland, CA .  We offer the newest diagnostic and treatment technologies for all your foot and ankle needs.

Read more about Flip Flops and Feet

Testimonials

Connect With Us